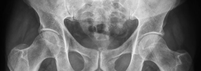
Reinforcing strap structures are found throughout the living world, holding critical biological systems together. Consider human hip structure. The pelvic girdle is comprised of the strongly interconnected bones ilium, ischium, and sacrum. These are gathered into a hoop that serves as the ideal anchoring structure for the thoracic trunk to the legs. During walking or running, more than the weight of the whole body is distributed over the breadth of this biological belt. Specific ligaments and tendons attach to points on the pelvic girdle, making bipedal locomotion not just operable, but efficient.

The cardiac muscle fibers (contractile tissues of the human heart) are connected to a tough, fibrous, protein-rich belt that is shaped in a curled figure eight, wrapped around the heart for precise muscle attachments. Coordinated to the timing of the wavelike contraction pulse, the size, strength, shape, and placement of the heart's belt together produce smooth, consistent blood flow. Without its belt, this organ would be a quivering muscular blob, incapable of maintaining blood circulation. If the belt were made of more rigid material like cartilage or bone, the heart would tear itself apart after years of pumping and abrading against such a stiff structure.
Certain cells are anchored tightly to one another with rows of protein "buttons" that form criss-crossing belts called "tight junctions." These serve to isolate specific membrane proteins to critical regions, as well as force outside substances to enter the cell bodies instead of leaking between the cells. Without tight junctions, our brain, testes, kidneys, and intestines would not function.
A new belt has just been discovered, the smallest yet.1 Bacterial cell walls are held together by proteins connected to tough sugar molecules. Visualized for the first time by high-resolution cryotomography, the lead author of the recent study commented to the media, "What we saw were long skinny tubes wrapping around the bag [bacterial cell wall] like the ribs of a person or a belt around the waist."2
Biological belts can be observed forming according to biological instructions and machinery, but they have objectively discernible features that demand a more adequate causative explanation than just "natural processes." In many cases, they are part of irreducibly complex systems. Removing just one breaks both its own system and the other systems that depend on it. Gradual, bit-by-bit accretion of parts could not have formed these belts, because there is no known mechanism that preserves, let alone adds to, such partially formed, effectively inoperative systems.
Many naturalists insist that because operational science works by observation and experimentation, origins science must also employ the same techniques. However, a broader suite of techniques is routinely and appropriately used in the scientific study of past events, as is portrayed on popular forensics television shows. Repeatable, empirical tests can answer the question "How does this biological belt work?" but forensic inferences are required to answer the question "How did the first of this kind of biological belt originate?" The operations of biological processes are the effects of preceding natural causes. But this does not also demand natural causes for the origin of irreducibly complex structures. In fact, since natural processes cannot adequately justify their existence, a supernatural cause is by far the most reasonable.
The parts of the first pelvic girdle, heart, tight junctions, and bacterial cell walls must have been formed at the same time, even as Psalm 33:9 states: "For he spake, and it was done; he commanded, and it stood fast." Any substandard versions of these belts would render their whole organism immobile or dead. These and many other biological belts must have been instantly emplaced in the beginning, just as Genesis describes.
References
- Gan, L., C. Songye and G. J. Jensen. 2008. Molecular organization of Gram-negative peptidoglycan. Proceedings of the National Academy of Sciences. 105 (48): 18953-18957.
- Caltech Researchers Use Electron Cryotomography to Get First 3-D Glimpse of Bacterial Cell-Wall Architecture. California Institute of Technology press release, November 17, 2008.
* Mr. Thomas is Science Writer.
Cite this article: Thomas, B. 2009. Biological Belts. Acts & Facts. 38 (1): 13.












